MRI 전후 사례

MRI 전후 사례

MRI 전후 사례

밤마다 다리 저림과 쥐… 척추협착증, 양방향 내시경 수술로 해소
작성일 25-09-26 13:37


204ef8d7bbf9c572756ff955844e8126_1758861280_2156.jpg
204ef8d7bbf9c572756ff955844e8126_1758861280_348.jpg
 




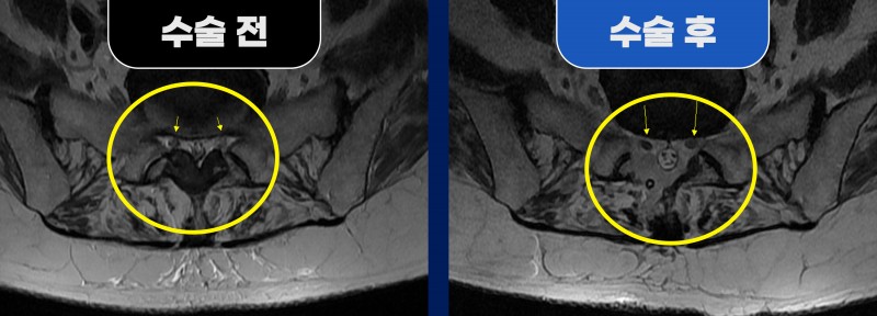
■ Before (수술 전)

73세 여성 환자분께서 4년간 밤에 다리가 저리고 쥐가 나는 증상으로 내원하셨습니다.
낮에는 큰 불편이 없어 활동은 가능했지만,
밤마다 증상이 심해 숙면이 어렵고 약물 치료에도 효과가 없었다고 호소하셨습니다.
MRI 검사 결과, 요추 5번(L5)/천추 1번(S1) 구간의 황색인대가 과도하게 두꺼워진 협착증 소견이 확인되었습니다.
협착증 환자의 경우, 누워서 다리를 펴면 허리가 전만(C자 곡선) 상태가 되어 황색인대가 더 접히고,
이로 인해 신경이 압박되어 다리 저림과 쥐 증상이 심해집니다.

사전에 시행한 신경차단술로 일시적 호전은 있었으나, 효과가 오래가지 않아 수술적 치료가 필요한 상태였습니다.




■ After (수술 후)

환자분은 양방향 내시경 수술을 받으셨습니다.
수술 중 석회화된 황색인대가 신경을 심하게 압박해 신경이 붓고 충혈된 모습이 확인되었고,
이를 제거하여 신경 공간을 확보했습니다.

수술 직후 환자분은 처음으로 밤에 편안하게 숙면을 취할 수 있었으며,

이후에도 다리 저림이나 쥐 증상 없이 안정적인 회복 과정을 보였습니다.



청담해리슨송도병원은 단순히 눌린 부위를 해소하는 것에 그치지 않고,
환자의 생활 불편을 근본적으로 해결하는 맞춤형 척추 수술을 통해 삶의 질을 개선하는 데 집중합니다.
하지불안 증상으로 고생 중이라면, 협착증 가능성도 있으므로 정확한 진단이 필요합니다.
가까운 척추 전문 병원에 내원해 진료를 받아보시길 권유드립니다.
next 이전글 요추 5번/천추 1번 추간판 파열, 단일공 내시경 수술로 해결