MRI 전후 사례

MRI 전후 사례

MRI 전후 사례

요추 5번/천추 1번 추간판 파열, 단일공 내시경 수술로 해결
작성일 25-09-05 14:48


204ef8d7bbf9c572756ff955844e8126_1757049814_168.jpg
204ef8d7bbf9c572756ff955844e8126_1757049814_3162.jpg
 




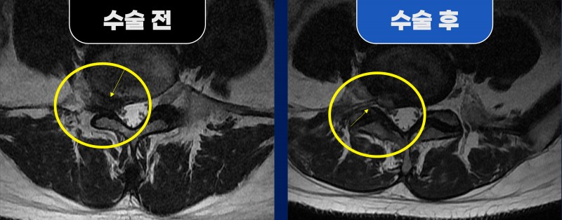
■ Before (수술 전)

33세 여성 환자분께서 요추 5번/천추 1번 추간판 파열로 내원하셨습니다.

MRI 결과, 파열된 디스크가 위쪽으로 밀려 올라가면서 추간공을 통해 신경을 심하게 압박하고 있었으며,
다리에 힘이 빠지는 마비 증상까지 동반되었습니다.

신경차단술을 포함한 여러 치료에도 통증이 지속되어 수술이 불가피한 상태였습니다.

특히, 후방으로 접근할 경우 후관절을 많이 제거해야 했고,
반대쪽에서 들어갈 경우 디스크 양이 많아 한 번에 제거하기 어려운 고난도 수술 상황이었습니다.





■ After (수술 후)

여성 환자의 경우 남성보다 골반 높이가 낮고,
젊을수록 디스크 간격이 유지되어 있어 단일공 내시경을 통한 동측 접근이 용이합니다.

이에 따라 우측 추간공을 통한 단일공 내시경 수술을 진행하였고,
파열된 디스크 조각들을 안전하게 제거했습니다.

신경 부종과 압박 부위가 해소되면서 MRI에서도 정상적인 신경 공간이 확보된 것을 확인했습니다.
수술은 국소마취로 진행되었으며, 피부 절개 약 0.8cm, 수술 시간은 약 30~40분이 소요되었습니다.

환자분은 수술 직후부터 통증이 현저히 줄었고, 빠르게 보행이 가능해졌습니다.
 



청담해리슨송도병원은 단순히 디스크 조각을 제거하는 데 그치지 않고,

환자의 해부학적 특성과 척추 정렬을 고려한 맞춤형 수술을 지향합니다.


무작정 참고 지내기보다는 정확한 진단과 적절한 치료가 회복의 핵심입니다.


prev 다음글 밤마다 다리 저림과 쥐… 척추협착증, 양방향 내시경 수술로 해소
next 이전글 양하지 방사통·배뇨장애 동반한 드문 디스크 파열, 척추내시경으로 해결